三、病毒性肝炎《病理学》

三、病毒性肝炎

病毒性肝炎(viral hepatitis)是由肝炎病毒引起的以肝实质细胞变性坏死为主要病变的传染病。现已知肝炎有甲型、乙型、丙型、丁型及戊型5种,由各该型病毒引起。1974年以来提出的非甲非乙型肝炎(NANB型),经近年研究证明,其中大部分为丙型肝炎并检出了丙肝病毒(HCV)及其抗体,另一小部分则为戊型肝炎。肝炎在世界各地均有发病和流行,且发病率有不断升高趋势。其发病无性别差异,各种年龄均可罹患。

【病因】

从1970年起,经过20年的研究,目前对肝炎病毒已比较清楚,由最初仅知的甲型肝炎病毒和乙型肝炎病毒二种,增加到由甲到戊5种病毒(HAV~HEV)。其特点见表10-2。

表10-2 各型肝炎病毒特点

肝炎及其病毒分型病毒类型传染方式克隆化年代
甲型肝炎

HAV

Enterovirus

RNA型

肠道1983年(1973检出)
乙型肝炎

HBV

Hepadnavirus

DNA型

非肠道1979年(1963检出)
丙型肝炎

HCV

Flavivirus

RNA型

非肠道1989年
丁型肝炎

HDV

Viroidrelated

RNA型

非肠道1986年
戊型肝炎

HEV

Calcivirus

RNA型

肠道1990年

(采自Seeff)

在上述各型肝炎病毒中,以HBV发现最早,研究得最多。现知该病毒是由核心及外壳两部分构成的病毒颗粒(Dane颗粒)。病毒基因组DNA在肝细胞核内进行复制、转录,合成核心颗粒后,被转运到肝细胞浆内,在通过内质网和细胞膜时合成其外壳部分,并以“发芽”过程释出肝细胞。Dane颗粒的核心部分含核心抗原(HbcAg),外壳部分含表面抗原(HBsAg)。目前认为引起肝细胞免疫损害的只是HBsAg诱发的免疫反应,其中以细胞免疫反应起主要作用。HAV是一种微小的RNA病毒,在肝细胞浆内增殖,现已被列入肠道病毒,该病毒颗粒可在粪便中检出。HCV的整组基因近年也可克隆化并标记其病毒抗体。HDV是一种微小缺陷性RNA病毒,现知此种病毒为球形以HBsAg作为其外壳,只能在HBsAg阳性机体内生长,故丁型肝炎常与乙型肝炎合并存在。HEV的颗粒为球形无包膜,表面有尖钉状突起。我国学者已将HEV分离培养并建立了细胞系(Huang RT等,1992)。

【传染途径】

各型肝炎病毒均可存在于肝组织、血液、粪、尿及各种体液内。其传染方式主要是经口、经血及体液传播,但各型肝炎的传染途径各异。甲型、戊型多经口感染。常来源于饮水及食物的污染,有时呈流行性暴发。乙型、丙型经血感染,主要通过输血、输液也可通过经皮及性接触传播。丁型亦为非经口感染,常与乙型肝炎传播伴行。各型肝炎的潜伏期也不相同,如甲型15~50天,乙型60~180天。戊型2~9周。丙型7~8周。一般认为肝炎痊愈后均可获得免疫力但均不稳固(甲型者稍好),有少部分患者还可发生再感染。

【基本病变】

各型肝炎病变基本相同,都是以肝细胞的变性、坏死为主,同时伴有不同程度的炎性细胞浸润、肝细胞再生和纤维组织增生。

1.肝细胞变性、坏死

(1)胞浆疏松化和气球样变:为常见的变性病变,是由于肝细胞受损后细胞水分增多造成。开始时肝细胞肿大,胞浆疏松呈网状、半透明,称胞浆疏松化。进一步发展,肝细胞更形胀大呈球形,胞浆几完全透明,称为气球样变(ballooning degeneration)(图10-34)。电镜下,可见内质网扩张、囊泡变、核蛋白颗粒脱失;线粒体肿胀、嵴消失等。

急性病毒性肝炎

图10-34 急性病毒性肝炎

肝细胞胞浆疏松化和气球样变,肝窦受压变窄

(2)嗜酸性变及嗜酸性坏死:嗜酸性变多累及单个或几个肝细胞,散在于小叶内。肝细胞胞浆水分脱失浓缩,嗜酸性染色增强,胞浆颗粒性消失。如进一步发展,胞浆更加浓缩之外,胞核也浓缩以至消失。最后剩下深红色均一浓染的圆形小体,即所谓嗜酸性小体(acidophilic body或Councillman body)(图10-35)。上述改变称嗜酸性坏死(acidophilic necrosis),为单个细胞坏死(细胞凋谢)。

急性病毒性肝炎

图10-35 急性病毒性肝炎

游离于肝窦内的嗜酸性小体(↑处),窦内皮细胞肿胀增生

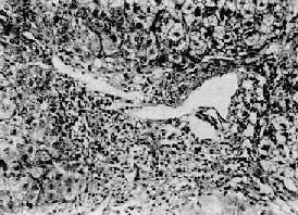
(3)点状坏死(spotty necrosis):肝小叶内散在的灶状肝细胞坏死。每个坏死灶仅累及1至几个肝细胞。同时该处伴以炎性细胞浸润(图10-36)。

病毒性肝炎

图10-36 病毒性肝炎

肝细胞点状坏死,坏死灶内有炎性细胞浸润

(4)溶解坏死(lytic necrosis)最多见,常由高度气球样变发展而来。此时胞核固缩、溶解、消失,最后细胞解体。重型肝炎时肝细胞的变性往往不明显,很快就发生此种坏死崩解。

2.炎细胞浸润肝炎时在汇管区或肝小叶内常有程度不等的炎性细胞浸润。浸润的炎细胞主要是淋巴细胞、单核细胞,有时也见少量浆细胞及中性粒细胞等。

3.间质反应性增生及肝细胞再生

(1)Kupffer细胞增生肥大:这是肝内单核吞噬细胞系统的炎性反应。增生的细胞呈梭形或多角形,胞浆丰富,突出于窦壁或自壁上脱入窦内成为游走的吞噬细胞。

(2)间叶细胞及纤维母细胞的增生:间叶细胞具有多向分化的潜能,存在于肝间质内,肝炎时可分化为组织细胞参与炎性细胞浸润。在反复发生严重坏死病例,由于大量纤维组织增生可发展成肝纤维化及肝硬变。

(3)肝细胞再生:肝细胞坏死时,邻近的肝细胞可通过直接或间接分裂而再生修复。在肝炎恢复期或慢性阶段则更为明显。再生的肝细胞体积较大,核大而染色较深,有的可有双核。慢性病例在汇管区尚可见细小胆管的增生。

上述肝炎基本病变中,肝细胞疏松化,气球样变,点状坏死及嗜酸性小体形成对于诊断普通型肝炎具有相对的特征性;而肝细胞的大片坏死、崩解则是重型肝炎的主要病变特征。

【临床病理类型】

各型肝炎病毒引起的肝炎其临床表现和病理变化基本相同。现在常用的分类是,在甲、乙、丙、丁、戊5型病毒病因分类之外,把病毒性肝炎从临床病理角度分为普通型及重型二大类。在普通型中分为急性及慢性两类。急性有急性无黄疸型及黄疸型;慢性有持续性(迁延性)及活动性。重型中又分为急性及亚急性两种。

1.急性(普通型)肝炎最常见。临床上又分为黄疸型和无黄疸型二种。我国以无黄疸型肝炎居多,其中多为乙型肝炎,一部分为丙型即过去所谓非甲非乙型的一部分。黄疸型肝炎的病变略重,病程较短,多见于甲型、丁型、戊型肝炎。两者病变基本相同,故一并叙述。

病变:广泛的肝细胞变性,以胞浆疏松化和气球样变最为普遍。坏死轻微,肝小叶内可有散在的点状坏死。嗜酸性小体的出现并非经常。由于点状坏死灶内的肝细胞索网状纤维支架保持完整而不塌陷,所以该处通过再生的肝细胞可完全恢复原来的结构和功能。汇管区及肝小叶内也有轻度的炎性细胞浸润。黄疸型者坏死灶稍多、稍重,毛细胆管管腔中有胆栓形成。

【临床病理联系】

由于肝细胞弥漫地变性肿胀,使肝体积增大,被膜紧张,为临床上肝大、肝区疼痛或压痛的原因。由于肝细胞坏死,释出细胞内的酶类入血,故血清谷丙转氨酶(SGPT)等升高,同时还可引起多种肝功能异常。肝细胞坏死较多时,胆红质的摄取、结合和分泌发生障碍,加之毛细胆管受压或有胆栓形成等则可引起黄疸

结局:急性肝炎大多在半年内可逐渐恢复。点状坏死的肝细胞可完全再生修复。一部分病例(多为乙型、丙型肝炎)恢复较慢,需半年到一年,少数病例(约1%)可发展为慢性肝炎。极少数可恶化为重型肝炎。

2.慢性(普通型)肝炎病毒性肝炎病程持续在一年(国外定为半年)以上者即为慢性肝炎。其中乙型肝炎占绝大多数(80%),也有近年明确的丙型肝炎。按病程、肝功能情况、免疫状态及病变等的不同将慢性肝炎分为持续性(迁延性)和活动性(进展性)二种。

(1)慢性持续性肝炎(chronic persistent hepatitis,CPH):临床症状常较轻或仅有肝功能异常。镜下,肝细胞变性、坏死较急性时减轻,Kupffer细胞增生活跃,汇管区或小叶内慢性炎性细胞浸润明显。有时汇管区可因有少量结缔组织增生而变宽。肝小叶轮子廓清楚,小叶界板无破坏。肉眼观,肝体积增大,但表面平滑。此型肝炎一般发展缓慢,经过较好,大多数可以恢复,少数可转变为慢性活动性肝炎。

(2)慢性活动性肝炎(chuonic active hepatitis,CAH):此型肝炎病变较重,肝功能持续异常。镜下,肝细胞变性坏死更为广泛而严重。肝细胞坏死呈灶状或条带状,并具有以下二种特征。①小叶周边的肝细胞界板受到破坏,界板肝细胞呈灶状坏死、崩解,伴有炎性细胞浸润,称为碎片状坏死(piecemeal necrosis)(图10-37);②小叶中央静脉与汇管区之间或两个中央静脉之间出现肝细胞坏死带,称桥接坏死(bridging necrosis)。坏死区可出现肝细胞不规则再生。小叶周边部坏死区纤维组织增生呈星芒状向小叶内伸展,并与小叶内肝细胞坏死处网状纤维支架塌陷而胶原化的纤维条索相连接,形成纤维间隔而分割小叶结构。肉眼观,在肿大的肝表面,上述纤维化明显区呈不平滑颗粒状,质地较硬。此型常见于乙、丙型肝炎,除肝外,患者还有脾肿大等全身改变,如不及时治愈大都转入肝硬变。

慢性活动性肝炎

图10-37 慢性活动性肝炎

肝细胞明显气球样变和嗜酸性变,小叶界板破坏呈现碎片状坏死,门管区见炎性细胞浸润

毛玻璃样肝细胞 多见于HBsAg携带者及慢性肝炎患者的肝组织。光镜下,HE染色切片上,此等肝细胞浆内充满嗜酸性细颗粒状物质,不透明似毛玻璃样故称毛玻璃样肝细胞(图10-38)。这些细胞内含大量HBsAg,电镜下呈线状或小管状积存在内质网池内。用免疫酶标法或免疫荧光法可呈HBsAg阳性反应。(图10-39)。

毛玻璃样肝细胞

图10-38 毛玻璃样肝细胞

肝细胞内的乙型肝炎表面抗原

图10-39 肝细胞内的乙型肝炎表面抗原

免疫酶标法(双PAP)染色显示肝细胞浆内的HBsAg

3.重量病毒性肝炎本型病情严重。根据起病急缓及病变程度,可分为急性重型和亚急性重型二种。

(1)急性重型肝炎:少见。起病急,病变发展迅猛、剧烈,病死率高。临床上又称为暴发型、电击型或恶性型肝炎。

本型病变可见肝细胞坏死严重而广泛。肝索解离,肝细胞溶解,出现弥漫性的大片坏死。坏死多自小叶中央开始,向四周扩延,仅小叶周边部残留少数变性的肝细胞。肝窦明显扩张充血并出血,Kupffer细胞增生肥大,并吞噬细胞碎屑及色素。小叶内及汇管区有淋巴细胞和巨噬细胞为主的炎性细胞浸润(图10-40)。残留的肝细胞再生现象不明显。肉眼观,肝体积显著缩小,尤以左叶为甚,重量减至600~800g,质地柔软,表面被膜皱缩(图10-41)。切面呈黄色或红褐色,有的区域呈红黄相间的斑纹状,故又称急性黄色肝萎缩或急性红色肝萎缩。

急性重型肝炎

图10-40 急性重型肝炎

肝细胞大片坏死消失,小叶中心部最重,周边部残存的肝细胞变性。坏死区有炎性细胞浸润

急性重型肝炎

图10-41 急性重型肝炎

肝体积显著缩小,尤以左叶为著,表面被膜皱缩

临床病理联系及结局:由于大量肝细胞的迅速溶解坏死,可导致:①胆红质大量入血而引起黄疸(肝细胞性黄疸);②凝血因子合成障碍导致出血倾向;③肝功能衰竭,对各种代谢产物的解毒功能发生障碍。此外,由于胆红素代谢障碍及血循环障碍等,还可导致肾功能衰竭(肝肾综合征hepatorenal syndrome)。急性重型肝炎的死因主要为肝功能衰竭(肝昏迷),其次为消化道大出血或急性肾功能衰竭等。弥散性血管内凝血(DIC)也较常见,是引起严重出血、致死的另一个因素。

本型肝炎如能渡过急性期,部分病例可发展为亚急性型。

(2)亚急性重型肝炎:多数是由急性重型肝炎迁延而来或一开始病变就比较缓和呈亚急性经过。少数病例可能由普通型肝炎恶化而来。本型病程可达一至数月。

病变特点为,既有大片的肝细胞坏死,又有肝细胞结节状再生。由于坏死区网状纤维支架塌陷和胶原纤维化,致使再生的肝细胞失去原有的依托呈不规则的结节状,失去原有小叶的结构和功能。小叶内外有明显的炎性细胞浸润。小叶周边部小胆管增生并可有胆汁淤积形成胆栓。肉眼观,肝不同程度缩小,被膜皱隔,呈黄绿色(亚急性黄色肝萎缩)。病程长者可形成大小不等的结节,质地略硬。切面黄绿色(胆汁淤积),交错可见坏死区及小岛屿状再生结节。

此型肝炎如及时治疗有停止进展和治愈的可能。病程迁延较长(如1年)者,则逐渐过渡为坏死后性肝硬变。病情进展者可发生肝功能不全。

【发病机制】

病毒性肝炎的发病是病毒与机体之间相互作用的结果。病毒的量、毒力和侵入途径与发病有一定关系。小量病毒往往只引起隐性感染,而大量病毒则可导致严重的病变。肝炎的病变程度和类型与机体的免疫状态也有密切关系。现仅就研究较多的乙型肝炎的肝损伤及其不同类型的发病机制简述如下。

(1)肝细胞损伤的机制:乙型肝炎病毒侵入机体后进入肝细胞内复制繁殖,然后以“发芽”形式从肝细胞释出入血。在肝细胞表面则留下病毒抗原成分,此时并不引起明显的肝细胞损伤。病毒入血后,刺激机体免疫系统产生细胞免疫和体液免疫。前者通过杀伤性T细胞(K细胞)及NK细胞等的直接作用和抗体依赖性的细胞毒作用,后者通过产生各种特异性抗体,均能对血中病毒进行反应加以杀灭。但同时也能对受病毒感染的肝细胞(膜上含病毒抗原成分)进行攻击,使肝细胞受到破坏发生坏死。一般认为,T细胞介导的细胞免疫反应是病毒感染后引起肝细胞损伤的主要因素。近年研究表明,在细胞免疫反应中,靶细胞抗原不一定只是HBsAg,还可有肝细胞膜脂蛋白及HBsAg。

(2)乙型肝炎的发病机制:应用上述肝细胞免疫损伤机制可以解释乙型肝炎出现的不同类型:①T细胞功能正常,感染病毒量多,毒力强时受感染及免疫损伤的肝细胞多而重,表现为急性重型肝炎;②T细胞功能正常,病毒量较少,毒力较弱则发生急性普通型肝炎;③T细胞功能正常,病毒量甚少,毒力很弱则表现为轻型或亚临床型肝炎;④T细胞功能不足,免疫反应仅能清除部分病毒和损伤部分受感染的肝细胞,未清除的病毒可继续繁殖并感染,反复发生部分肝细胞损伤,结果表现为慢性肝炎;⑤机体免疫功能缺陷,T细胞呈免疫耐受状态,此时病毒与宿主共生。病毒在肝细胞内持续复制,感染的肝细胞也不受免疫损伤,此时则表现为无症状的病毒携带者。

上一页:二、代谢性疾病
当前页:三、病毒性肝炎
下一页:四、酒精性肝病

返回目录